Bài viết sau đây chúng ta cùng tìm hiểu về các nghiên cứu lâm sàng ngẫu nhiên cuối cùng đã thảo luận về các phương thức chụp X quang và hình ảnh của tổn thương nang tụy. Tuy nhiên, các nghiên cứu sâu hơn vẫn cần được thực hiện để nâng cao khả năng chẩn đoán và xác định một chiến lược rõ ràng cho việc sử dụng các kỹ thuật nội soi mới trong chẩn đoán nang tụy.
1. Chẩn đoán nang tụy
Tổn thương dạng nang của tuyến tụy liên quan đến nhiều loại bệnh lý bao gồm tổn thương tân sinh và không phải ung thư. Việc chẩn đoán, phân biệt các tổn thương dạng nang này được coi là một vấn đề quan trọng trong việc lập kế hoạch xử trí.
Có những thách thức lớn đối với các mô hình chẩn đoán các loại tổn thương nang tụy. Trong thời đại y học phát triển, các phương pháp như: Nội soi tế bào học chọc hút kim nhỏ có hướng dẫn bằng siêu âm với phân tích hóa học và phân tử của dịch nang; Nội soi bằng laser đồng điểm bằng kim nhỏ có hướng dẫn bằng EUS (siêu âm qua nội soi), thông qua sinh thiết vi kim; Nội soi đường mật, soi đường tuỵ…được đánh giá là đầy hứa hẹn trong chẩn đoán nang tụy.

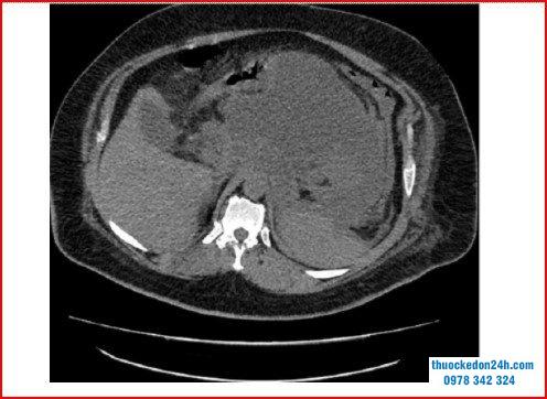
Chụp cắt lớp vi tính cho thấy nang giả tụy bị viêm
2. Các nghiên cứu triển vọng trong chẩn đoán nang tuỵ
Xét nghiệm các đột biến liên quan đến khối u ác tính tuyến tụy làm tăng độ chính xác chẩn đoán nang tụy. Phân tích phân tử thường quy các đột biến KRAS/ GNAS cho độ nhạy và độ đặc hiệu cao, đạt 90% trong việc phát hiện các tổn thương niêm mạc. Tuy nhiên, các đột biến KRAS vẫn không phân loại được mức độ ác tính. Do vậy, Springer và cộng sự đã kết luận trong nghiên cứu của họ rằng, các đột biến ở von Hippel-Lindau (VHL) gen (3p35) với sự mất dị hợp tử ở vị trí gen trên nhiễm sắc thể 3 và dị bội nhiễm sắc thể 3p, được phát hiện ở khoảng 67% các u tuyến giáp huyết thanh.
Một nghiên cứu được thực hiện bởi Arner và cộng sự đã đề cập rằng: “Việc bổ sung phân tích phân tử DNA làm thay đổi việc quản lý lâm sàng của tổn thương nang tụy, thường xuyên nhất khi nồng độ CEA ở mức trung bình (45-800 ng/ mL) hoặc khi không có nồng độ CEA”.Chỉ riêng đột biến GNAS có thể được phát hiện trong tới 66% các tổn thương ung thư niêm mạc, việc phát hiện chúng có thể đạt tới 96% các trường hợp khi kết hợp với các đột biến KRAS. Chúng cũng được tìm thấy trong 100% trường hợp IPMN với độ nhạy và độ đặc hiệu lần lượt là 89% và 100% để phát hiện u nang niêm mạc.
Các đột biến khác được khảo sát bao gồm đột biến TP53, đột biến mất đoạn ở p16/ CDKN2A , SMAD4 , đột biến ở TP53 , PIK3CA và / hoặc PTEN. Chúng rất nhạy cảm với IPMN. Theo một đánh giá có hệ thống của Zhang và Pitman, mặc dù xét nghiệm phân tử không phải là một phương pháp thay thế cho xét nghiệm tế bào học và hóa học nhưng nó vẫn có thể tăng thêm giá trị cho kết quả chẩn đoán.
3. Các nghiên cứu sử dụng phân tích DNA của dịch nang có vẻ hứa hẹn nhưng cần được chú ý thêm
Các nghiên cứu lâm sàng ngẫu nhiên cuối cùng đã thảo luận về các phương thức chụp X quang và hình ảnh của tổn thương nang tụy. Tuy nhiên, các nghiên cứu sâu hơn vẫn cần được thực hiện để nâng cao khả năng chẩn đoán và xác định một chiến lược rõ ràng cho việc sử dụng các kỹ thuật nội soi mới trong chẩn đoán nang tụy.

Nội soi hút kim nhỏ có hướng dẫn siêu âm của một khối u nang tuyến tụy.
Bảng các nghiên cứu lâm sàng ngẫu nhiên cuối cùng về phương thức chẩn đoán bằng tia X và hình ảnh của tổn thương nang tụy:


Chữ viết tắt: IPMN: Ung thư niêm mạc nhú nội bào; PCL: Tổn thương nang tụy; EUS: Siêu âm nội soi; FNA: Chọc hút kim nhỏ; NR: Không được báo cáo; nCLE: Nội soi bằng laser đồng tiêu dựa trên kim; IHC: Hóa mô miễn dịch.Tóm lại, thách thức lâm sàng thực sự trong việc quản lý các tổn thương nang tụy là xác định những bệnh nhân nào nên cắt tụy vì ung thư không di căn sớm, bệnh nhân nào có tổn thương nang tụy tiền ung thư có nguy cơ cao hoặc bệnh nhân có hạn chế/ không dẫn đến khả năng chuyển thành ác tính. Bằng cách kết hợp việc sử dụng các phương thức EUS với các chất chỉ điểm khối u dạng nang, phân tích tạo ra 1 mô hình chẩn đoán mới cho tổn thương nang tụy. Ngoài ra, nó thực sự nhấn mạnh rằng để chẩn đoán chính xác tổn thương nang tụy thì đòi hỏi phải có 1 phương pháp tiếp cận nhóm đa ngành và đa phương thức, song song với việc tích hợp các phát hiện lâm sàng, hình ảnh, tế bào học, phân tích dịch nang và xét nghiệm phân tử.Nếu nghi ngờ bản thân mắc bệnh tuyến tụy, khách hàng có thể đến với Hệ thống Bệnh viện Đa khoa Quốc tế Vinmec. Hiện nay, Vinmec là một trong những bệnh viện uy tín hàng đầu cả nước, được đông đảo người bệnh tin tưởng thăm khám và điều trị bệnh. Không chỉ có hệ thống cơ vật chất, trang thiết bị hiện đại: 6 phòng siêu âm, 4 phòng chụp X- quang DR (1 máy chụp toàn trục, 1 máy tăng sáng, 1 máy tổng hợp và 1 máy chụp nhũ ảnh), 2 máy chụp Xquang di động DR, 2 phòng chụp cắt lớp vi tính đa dãy đầu thu (1 máy 128 dãy và 1 máy 16 dãy), 2 phòng chụp Cộng hưởng từ (1 máy 3 Tesla và 1 máy 1.5 Tesla), 1 phòng chụp mạch máu can thiệp 2 bình diện và 1 phòng đo mật độ khoáng xương….
Thông tin cần tư vấn liên hệ 0978342324 hoặc truy cập thuockedon24h.com để được hỗ trợ.
