Bài viết sau đây chúng ta cùng tìm hiểu về triệu chứng nhận biết và cách điều trị, chẩn đoán sỏi ống mật chủ: Siêu âm là phương pháp chẩn đoán hình ảnh sỏi mật có nhiều ưu điểm, không ảnh hưởng đến sức khỏe người bệnh, độ chính xác cao. Phương pháp chẩn đoán sỏi mật trên siêu âm sẽ xác định được vị trí và kích thước của sỏi mật với kết quả chuẩn xác đến 95%.
1. Sỏi ống mật chủ là gì?
Sỏi ống mật chủ là sự xuất hiện của ít nhất một viên sỏi mật trong đường mật chính ngoài gan. Sỏi có thể là từ sắc tố mật hoặc các muối canxi và cholesterol. Người có tiền sử sỏi mật, bệnh túi mật sẽ có tỷ lệ cao bị sỏi mật. Một số yếu tố khác sau đây làm tăng nguy cơ phát triển sỏi mật như:
Béo phì, chế độ ăn uống nhiều chất béo, ít chất xơ, cao calo, ăn chay kéo dài. Phụ nữ mang thai, Giảm cân nhanh chóng nhưng thiếu hoạt động thể chấtNếu người thân trong gia đình bị sỏi mật, bạn sẽ có nguy cơ bị.
Sỏi mật nếu không được phát hiện sớm và điều trị kịp thời thì có thể dẫn đến nhiều biến chứng nguy hiểm như:
Tắc nghẽn đường dẫn mật: Sỏi mật có thể làm tắc nghẽn các đường dẫn mật, gây vàng da và nhiễm trùng đường mật.Thấm mật phúc mạc: Do mật ứ đọng ở trên chỗ tắc của ống mật chủ thấm qua thành ống mật.Viêm phúc mạc mật: Nguyên nhân là do vỡ túi mật hoặc thủng ống mật chủ, dịch mật và vi khuẩn vào ổ bụng gây nên viêm phúc mạc.Viêm mủ đường mật và áp xe gan đường mật: Do ứ đọng mật và nhiễm trùng gây nên viêm mủ đường mật. Sau đó hình thành nhiều ổ áp xe nhỏ rải rác quanh gan.Chảy máu đường mật: Chảy máu đường mật trong trường hợp sỏi và áp xe gây loét thành ống mật, làm ống mật thông với mạch máu trong gan.Sốc nhiễm khuẩn đường mật: bệnh nhân sốt cao, có hội chứng tắc mật, huyết áp tụt, cấy máu có vi khuẩn.Tắc nghẽn ống tụy – viêm tụy: Là ống dẫn từ tuyến tụy đến ống mật chủ giúp cơ thể tiêu hóa thức ăn. Có thể gây tắc nghẽn ống tụy dẫn đến viêm tụy cấp cần phải nhanh chóng điều trị tránh biến chứng nguy hiểm.Viêm túi mật: Sỏi mật mắc ở cổ túi mật có thể gây viêm túi mật và có thể cần phải phẫu thuật cắt túi mật khi túi mật viêm tái đi tái lại nhiều lần, mất chức năng.Ung thư túi mật: Người bệnh bị sỏi mật có nguy cơ cao bị ung thư túi mật nhưng tỷ lệ mắc ung thư rất nhỏ.

Sỏi ống mật chủ cần được phát hiện sớm và điều trị kịp thời
2. Triệu chứng nhận biết sỏi ống mật chủ
Sỏi mật gây ra những biến chứng nguy hiểm như trên, do vậy việc nhận biết dấu hiệu, triệu chứng của bệnh là rất quan trọng để điều trị kịp thời. Các triệu chứng sỏi mật bao gồm:
Đau vùng hạ sườn phải: Người bệnh sẽ đau dữ dội, đau lan lên vai phải hoặc ra sau lưng, đau càng tăng hơn sau ăn và cơn đau kéo dài.Sốt: Triệu chứng sốt thường xảy ra đồng thời hoặc vài giờ sau khi đau, sốt cao 39 – 40oC kèm theo rét run và vã mồ hôi. Ngoài ra, người bệnh có thể bị môi khô, mệt mỏi; người gầy sút, mạch nhanh. Vàng da và niêm mạc mắt: Đây là triệu chứng chủ yếu, xuất hiện muộn hơn, lúc đầu chỉ vàng nhẹ ở củng mạc mắt, sau đó vàng thẫm ở cả da và niêm mạc.Túi mật căng to: Khi túi mật căng to, có thể nổi lên ở dưới bờ sườn phải, sờ thấy tròn, nhẵn, đều, ấn đau, di động. Trong một số trường hợp gan to dưới bờ sườn.Các triệu chứng khác: Triệu chứng nôn thường đi kèm theo đau, nước tiểu ít và sẫm màu như nước vối. Đôi khi có phân bạc màu do tắc mật hoàn toàn và ngứa ngoài da do nhiễm độc muối mật.
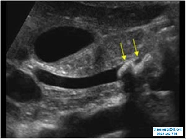
3. Hình ảnh sỏi ống mật chủ trên siêu âm
Siêu âm là phương pháp chẩn đoán hình ảnh sỏi mật có nhiều ưu điểm như đơn giản, chi phí ít, không ảnh hưởng đến sức khỏe người bệnh, độ chính xác cao. Phương pháp chẩn đoán sỏi mật trên siêu âm mang lại giá trị cao như sau:
Xác định được vị trí và kích thước của sỏ mật chủ trên siêu âm với kết quả chuẩn xác đến 95%.Siêu âm được tiến hành trên phạm vi rộng rãi để hỗ trợ chẩn đoán cho các bệnh lý gan mật.Hình ảnh sỏi mật trên siêu âm thường là cấu trúc tang âm kèm bóng cản và nằm trong ống mật chủ. Tương tự, sỏi túi mật sẽ thấy bóng cản đậm nằm trong túi mật.

Hình ảnh sỏi ống mật chủ trên siêu âm
Tuy nhiên siêu âm cũng có những hạn chế khi khảo sát sỏi mật như:
Khó khảo sát đường mật ở người béo Sỏi phần thấp ống mật chủ thì khó khăn hơn do bị hơi ở tá tràng – đại tràng ngang che lấp, bệnh nhân có sẹo mổ cũ, thành bụng dày…
Vì vậy, ngoài phương pháp siêu âm sỏi mật chụp cắt lớp vi tính và cộng hưởng từ có thể được sử dụng trong việc chẩn đoán các trường hợp nghi ngờ sỏi mật mà siêu âm không thể khẳng định được.
4. Điều trị sỏi ống mật chủ
Sau khi chẩn đoán tình trạng sỏi mật ở người bệnh, việc điều trị là pháp pháp tất yếu để phòng tránh các biến chứng.
Điều trị không phẫu thuật:
Điều trị nội khoa tạm thời trong tắc mật nhiễm trùng trong tắc mật cấp tính bao giờ cũng kèm theo nhiễm trùng hoặc là tắc mật gây ứ đọng mật làm cho vi khuẩn hoạt động và phát triển; hoặc là có nhiễm trùng đường mật bị phù nề và ôm sát hòn sỏi cản trở sự lưu thông dịch mật; điều trị chủ yếu là các loại kháng sinh chống vi khuẩn Gram (-), thuốc dãn cơ trơn. Phương pháp này tạm thời điều trị triệu chứng để hạn chế biến chứng do sỏi gây nên.
Dùng các hoá chất làm tan sỏi mật như:
Sử dụng các hóa chất làm tan sỏi như cho uống chenodeoxycholic và ursodeoxycholic.Hỗn hợp MTBE (Methyl – Tertiary – Butyl – Ether) bơm vào đường mật qua nội soi.
Hiện nay có nhiều phương pháp tiên tiến để điều trị sỏi mật với các kỹ thuật can thiệp xâm lấn tối thiểu đã được áp dụng rộng rãi:
Nội soi qua tá tràng, cắt cơ vòng Oddi lấy sỏi (ERCP).Tán sỏi qua da, tán sỏi qua nội soi đường mật.Tán sỏi ngoài cơ thể : Hiện nay nhiều nước trên thế giới áp dụng tán sỏi OMC ngoài cơ thể, kết quả thành công khá cao.
Điều trị phẫu thuật:
Phương pháp điều trị ngoại khoa là phương pháp phẫu thuật nhằm lấy sỏi, tạo sự lưu thông mật – ruột và dẫn lưu tình trạng nhiễm trùng đường mật. Trước khi phẫu thuật cần điều trị nội khoa trước như dùng kháng sinh, lợi mật, dãn cơ trơn đường mật, truyền dịch, điện giải. Các chỉ định phẫu thuật khi:
Phẫu thuật cấp cứu: Chỉ định trong trường hợp viêm phúc mạc mật và thấm mật phúc mạc.Chỉ định phẫu thuật cấp cứu trì hoãn: Trong trường hợp chảy máu đường mật do sỏi, áp xe đường mật do sỏi, viêm tụy cấp do sỏi mật.Trường hợp sốc nhiễm khuẩn đường mật, viêm thận cấp do sỏi mật phải được hồi sức tốt rồi phẫu thuật sớm và chỉ can thiệp tối thiểu.
Các bước phẫu thuật sỏi mật bao gồm:
Bước 1: Chuẩn bị dụng cụ phẫu thuật đảm bảo vô trùng, gây mê nội khí quản.
Bước 2: Mổ đường trắng giữa trên rốn, nếu cần kéo thêm xuống dưới rốn 1-2 cm. Bác sĩ thăm dò gan, túi mật, xác định sỏi và vị trí sỏi trong ống mật chủ.
Bước 3: Mở ống mật chủ đoạn trên tá tràng để lấy sỏi, dị vật rồi rửa đường mật bằng huyết thanh, bơm rửa cả đường mật trong gan để lấy sỏi trong gan
Bước 4: Kiểm tra sự lưu thông của ống mật chủ với tá tràng bằng thông Benique và chụp đường mật trong phẫu thuật
Bước 5: Dẫn lưu đường mật bằng ống Kehr nhằm dẫn lưu dịch mật nhiễm trùng, sau đó chụp kiểm tra đường mật qua Kehr sau mổ. Nếu túi mật bị hoại tử hoặc có sỏi túi mật thì phải cắt bỏ túi mật. Nếu có sỏi trong gan kết hợp thì phải tiến hành lấy sỏi trong gan bằng các dụng cụ hoặc tán sỏi. Trong một số trường hợp có thể khâu kín ống mật chủ nếu có nội soi đường mật kiểm tra trong phẫu thuật xác định hết sỏi và đường mật thông xuống tá tràng tốt.
Thông tin cần tư vấn liên hệ 0978342324 hoặc truy cập thuockedon24h.com để được hỗ trợ.
