Bài viết sau đây chúng ta cùng tìm hiểu về Hội chứng fitz-hugh-curtis là một biến chứng mạn tính của bệnh lý viêm nhiễm vùng chậu. Bệnh nhân thường khởi phát với đau vùng hạ sườn phải hoặc đau tức ngực trên nền bệnh viêm vùng chậu. Chẩn đoán có thể được khẳng định bằng sự hiện diện của Chlamydia trachomatis (phổ biến nhất) hoặc Neisseria gonorrhoea trong dịch phúc mạc.
1. Hội chứng fitz-hugh-curtis là gì?
Hội chứng Fitz-Hugh-Curtis (FHCS) – viêm quanh gan là tình trạng viêm dính của bao gan và phúc mạc mà không ảnh hưởng đến nhu mô gan. Đây là một biến chứng mạn tính của bệnh lý viêm nhiễm vùng chậu (PID). Hội chứng này ban đầu được mô tả bởi Arthur H Curtis vào năm 1930 và Thomas Fitz-Hugh Jr vào năm 1934.
Về dịch tễ học, tỷ lệ mắc bệnh viêm vùng chậu nhẹ đến trung bình ở phụ nữ có thể xấp xỉ 4%. Tỷ lệ có thể cao hơn ở bệnh lao sinh dục. Thường xảy ra nhất ở phụ nữ trong độ tuổi sinh đẻ, tuy nhiên đã có một số trường hợp hiếm hoi được báo cáo ở nam giới.
Về mặt bệnh học, hội chứng này được cho là hậu quả của sự lây lan trực tiếp trong phúc mạc đến vùng quanh gan do viêm hoặc nhiễm trùng vùng chậu ban đầu.
2. Biểu hiện lâm sàng hội chứng fitz-hugh-curtis
Bệnh nhân thường khởi phát với đau vùng hạ sườn phải hoặc đau tức ngực trên nền bệnh viêm vùng chậu.
Chẩn đoán có thể được khẳng định bằng sự hiện diện của Chlamydia trachomatis (phổ biến nhất) hoặc Neisseria gonorrhoea trong dịch phúc mạc. Trichomonas vaginalis, Ureaplasma urealyticum và Mycoplasma hominis là những nguyên nhân ít phổ biến hơn gây ra hội chứng Fitz-Hugh-Curtis. Ở những nước lưu hành bệnh lao, Mycobacterium tuberculosis có thể là tác nhân nổi trội gây ra hội chứng này.
3. Đặc điểm hình ảnh hội chứng fitz hugh curtis
Phương tiện hình ảnh CT Scan sẽ biểu hiện viêm nhiễm ở vùng chậu và vùng quanh gan. Cụ thể:
Với vùng chậu: Có thể cho thấy một áp xe phần phụ, ứ mủ vòi trứng, dịch vùng tiểu khung.Với vùng quanh gan: Có thể thấy các dải viêm, dịch dọc rãnh đại tràng phải và quanh gan, bắt thuốc bao gan, dày thành túi mật, thay đổi viêm quanh đường mật, bất thường tưới máu nhu mô gan thoáng qua.
Chẩn đoán phân biệt:
Carcinomatosis phúc mạc: Cho thấy nhiều nốt phúc mạc hơn và có thành phần đặc, biểu hiện ác tính vùng chậu rõ ràng trên hình ảnh và có biểu hiện lâm sàng khác.Viêm ruột thừa: Cần chẩn đoán phân biệt với hội chứng trên nhưng chính viêm ruột thừa cũng có thể là biến chứng có thể xảy ra.

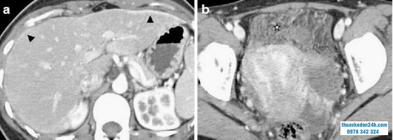
Dải xơ dính bao gan trong hội chứng fitz-hugh-curtis

Bệnh nhân nữ 26 tuổi đau hạ sườn phải và sốt nhẹ, nhập khoa cấp cứu. (a) CT thì động mạch cho thấy viêm bao gan lan tỏa (đầu mũi tên) bắt thuốc dọc phần trước ngoài gan. (b) CT vùng chậu cho thấy thâm nhiễm mỡ phúc mạc và phần trước khoang chậu (dấu sao), phù hợp với viêm nhiễm vùng chậu.
Tóm lại, hội chứng fitz-hugh-curtis là tình trạng viêm dính của bao gan và phúc mạc mà không ảnh hưởng đến nhu mô gan. Bệnh nhân thường khởi phát với đau vùng hạ sườn phải hoặc đau tức ngực trên nền bệnh viêm vùng chậu.
Thông tin cần tư vấn liên hệ 0978342324 hoặc truy cập thuockedon24h.com để được hỗ trợ.
