Bài viết sau đây chúng ta cùng tìm hiểu về U mô đệm đường tiêu hóa là gì? Nguyên nhân, chẩn đoán và điều trị. Mặc dù tạo hình dữ liệu hoá có tiềm năng nghiên cứu to lớn để cải thiện việc đánh giá định lượng khối u mô đệm đường tiêu hóa, nhưng có một số hạn chế thách thức việc ứng dụng nó trong thực hành lâm sàng hàng ngày.
1. U mô đệm đường tiêu hóa là gì?
Các khối u mô đệm đường tiêu hóa (GISTs) là khối u trung mô không phổ biến của đường tiêu hóa, có nguồn gốc từ các tế bào kẽ của Cajal. U mô đệm đường tiêu hóa gist có thể phát sinh ở bất cứ đâu dọc theo đường tiêu hóa, thường gặp ở dạ dày (50% -60% trường hợp) hoặc ruột non (30% -40%), trong khi chúng hiếm được quan sát thấy ở thực quản và đại trực tràng. Tất cả các u mô đệm đường tiêu hóa đều có khả năng ác tính với mức độ sinh học khác nhau. Gan và phúc mạc là những vị trí phổ biến nhất của bệnh di căn hoặc tái phát sau khi phẫu thuật cắt bỏ, xảy ra ở khoảng 40% bệnh nhân. U mô đệm đường tiêu hóa cũng được đặc trưng bởi những thay đổi di truyền đặc biệt, với 85% khối u có đột biến kích hoạt trong gen sinh ung thư KIT, trong khi một số ít tổn thương cho thấy đột biến của yếu tố tăng trưởng có nguồn gốc tiểu cầu α (PDGFRα) hoặc đôi khi có thể thiếu các đột biến đã biết.
Sự ra đời của imatinib mesylate, một chất ức chế tyrosine kinase chọn lọc của các thụ thể KIT và PDGFα, đã tạo ra một cuộc cách mạng trong việc điều trị u mô đệm đường tiêu hóa, cải thiện đáng kể sự sống sót của bệnh nhân ngay cả trong giai đoạn nặng.
2. Các kỹ thuật chẩn đoán cổ điển
Chụp cắt lớp vi tính có cản quang (CT) là phương thức hình ảnh được lựa chọn để chẩn đoán trước phẫu thuật, phân giai đoạn, cũng như theo dõi hậu phẫu và đánh giá đáp ứng điều trị ở bệnh nhân u mô đệm đường tiêu hóa. Trên CT có cản quang, u mô đệm dạ dày-ruột (gist) thường xuất hiện với các đặc điểm hình ảnh đặc biệt, thường là với khối u ở bụng lớn (> 5 cm), tăng cường không đồng nhất và số lượng hoại tử thay đổi. Các phát hiện hình ảnh khác bao gồm sự hiện diện của vôi hóa, loét hoặc thoái hóa nang.
Chụp cộng hưởng từ (MRI) có thể cung cấp thêm thông tin để đánh giá các khối u nguyên phát ở vị trí đặc biệt và có thể được ưu tiên để chẩn đoán phân biệt di căn gan với các tổn thương gan lành tính khác.
Trong thực hành lâm sàng, dự đoán hành vi của u mô đệm đường tiêu hóa là một thách thức, trừ khi các tổn thương đã di căn tại thời điểm chẩn đoán. Mặc dù một số yếu tố dự báo hình ảnh về khả năng ác tính đã được xác định (kích thước, vị trí, ranh giới, mô hình tăng cường) và tương quan biến đổi với tiên lượng cũng như khả năng sống sót của u mô đệm đường tiêu hóa, các khối u nhỏ thiếu các đặc điểm hình ảnh liên quan vẫn có thể di căn, gây khó khăn cho việc dự đoán các khối u ác tính.
3. Kỹ thuật phân tích tạo hình dữ liệu hoá
Phép đo tạo hình dữ liệu hóa dựa trên định lượng toán học của sự không đồng nhất của hình ảnh, thông qua việc phân tích sự phân bố và mối quan hệ của cường độ pixel trong một vùng quan tâm (ROI). Tạo hình dữ liệu hóa có thể được áp dụng tiềm năng cho bất kỳ loại hình ảnh tạo hình dữ liệu hóa nào, bao gồm siêu âm, CT, MRI và chụp cắt lớp/ CT phát xạ positron, nhưng hầu hết các nghiên cứu ngày nay đều dựa trên việc kiểm tra CT hoặc MRI. Thu nhận hình ảnh là một trong những bước quan trọng nhất đối với chụp ảnh tạo hình dữ liệu hóa, vì quá trình quét và các thông số kỹ thuật có thể ảnh hưởng đến khả năng tái tạo của các tính năng chụp ảnh tạo hình dữ liệu hóa. Đặc biệt, thuật toán tái tạo và độ dày lát cắt đã được chứng minh là ảnh hưởng phần lớn đến khả năng tái tạo của các tính năng tạo hình dữ liệu hóa trên CT.
Việc thu nhận hình ảnh không đồng nhất có thể là vấn đề để đánh giá dữ liệu hồi cứu thu được bằng các máy quét CT hoặc MRI khác nhau, trong khi nghiên cứu tiền cứu cần đảm bảo rằng tất cả bệnh nhân sẽ được chụp ảnh bằng các thông số chuẩn. Điều quan trọng nữa là chọn pha/ trình tự tối ưu để phân tích hình ảnh. Hình ảnh trước cản quang không bị ảnh hưởng bởi việc dùng thuốc cản quang, nhưng phân đoạn tổn thương khó hơn, đặc biệt đối với các khối u nhỏ hơn khó phân biệt trên CT không cản quang. Hình ảnh tăng cường chất cản quang có thể cung cấp đánh giá tốt hơn về tính không đồng nhất của tổn thương, nhưng loại và thời gian không chuẩn hóa của việc sử dụng chất cản quang có thể đại diện cho các yếu tố gây nhiễu bổ sung, đặc biệt là đối với hình ảnh thu được trên pha động mạch.

Phép đo tạo hình dữ liệu hóa dựa trên định lượng toán học của sự không đồng nhất của hình ảnh
Tạo hình dữ liệu hóa [radiomics] được định nghĩa như là việc trích ra ở mức cao toàn bộ đặc điểm của tạo hình định lượng hay biệt tính [texture] từ chẩn đoán hình ảnh để giải mã bệnh học mô và tạo mới dữ liệu với kích thước lớn để trích xuất ra các đặc điểm.
4. Phân đoạn tổn thương là bước quan trọng nhất của quá trình chụp tạo hình dữ liệu hóa
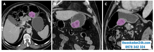
Việc phân đoạn có thể được thực hiện thủ công bởi các bác sĩ tạo hình dữ liệu hóa chuyên nghiệp, sử dụng phần mềm bán tự động hoặc tự động. Mặc dù việc phân đoạn bằng tay tốn nhiều thời gian và có thể thay đổi giữa các đầu đọc, nhưng nó vẫn được coi là tiêu chuẩn vàng cho hầu hết các nghiên cứu về tạo hình dữ liệu hóa. Việc phân đoạn thường được thực hiện bằng cách vẽ ROI trong biên khối u (Hình 1), tránh đưa vào bất kỳ mô ngoài dạ dày nào như niêm mạc ruột, thành phần trong ruột hoặc các mạch máu phúc mạc. ROI có thể được đặt trên một slide đơn (ROI 2D) mặt cắt ngang của khối u lớn nhất hoặc bao gồm toàn bộ tổn thương (3D ROI). Mặc dù sau này có thể nắm bắt được nhiều sự không đồng nhất của mô, nhưng lợi thế lâm sàng của nó vẫn còn được tranh luận.

Hình 1. Các ví dụ về phân đoạn tổn thương bằng phần mềm phân tích kết cấu
Chỉ các tính năng không tương quan với hiệu suất chẩn đoán đáng kể mới được chọn cho các mô hình chụp tạo hình dữ liệu hóa cuối cùng. Việc lựa chọn các phương pháp và mô hình thống kê có thể phụ thuộc vào nhiều yếu tố như đánh giá kết cục chính, số lượng các đặc điểm và số lượng tổn thương được phân tích. Các mô hình này cũng có thể được kết hợp với các đặc điểm lâm sàng khác của bệnh nhân để tăng khả năng dự đoán. Cuối cùng, các mô hình xạ hình cần được kiểm tra và xác nhận bằng cách sử dụng nhóm xác nhận nội bộ độc lập hoặc nhóm bên ngoài. Để đánh giá chất lượng của các nghiên cứu tạo hình dữ liệu hóa, người ta đã đề xuất điểm số, chẳng hạn như điểm chất lượng tạo hình dữ liệu hóa được phát triển bởi Lambin và cộng sự, đánh giá 16 thành phần chính của quy trình làm việc tạo hình dữ liệu hoá.
5. Sử dụng kỹ thuật tạo hình dữ liệu hoá trong chẩn đoán u mô đệm đường tiêu hoá GIST
Cho đến tháng 5 năm 2020, tất cả các nghiên cứu xạ hình về u mô đệm đường tiêu hóa được thực hiện trong cộng đồng hồi cứu và chỉ có bốn nghiên cứu là đa trung tâm. Số lượng u mô đệm đường tiêu hóa gist được bao gồm dao động rộng rãi từ 15 đến 440 tổn thương. Tất cả ngoại trừ một trong số các nghiên cứu về tạo hình dữ liệu hóa u mô đệm đường tiêu hóa gist đã sử dụng hình ảnh CT để trích xuất các tính năng, trong khi chỉ có một nghiên cứu đã đánh giá MRI.
Trên các nghiên cứu CT, phân tích tạo hình dữ liệu hóa thường được thực hiện tốt nhất ở giai đoạn tĩnh mạch (48%), tiếp theo là giai đoạn động mạch (38%) và hình ảnh trước cản quang (14%) (Hình 2 ). Không có nghiên cứu nào bao gồm giai đoạn bị trì hoãn trong đánh giá chụp tạo hình dữ liệu hóa. Các tính năng thứ nhất, thứ hai và thứ ba đã được trích xuất lần lượt trong 80%, 67% và 20% nghiên cứu. Phân tích theo thể tích (3D ROI) được thực hiện trong 60% trường hợp, trong khi ROI 2D được đặt trong 47% trường hợp. Chỉ có một nghiên cứu so sánh độ chính xác của ROI 2D và 3D trong GIST, báo cáo sự thống nhất tuyệt vời giữa hai phương pháp phân đoạn.

Hình 2. Biểu đồ cho thấy tần suất của các giai đoạn hình ảnh chụp cắt lớp vi tính trong các nghiên cứu về khối u mô đệm đường tiêu hóa bằng tạo hình dữ liệu hóa.
Rất ít nghiên cứu đã khảo sát sự biến đổi trong và giữa các đầu đọc của các đặc điểm tạo hình dữ liệu hóa trong u mô đệm đường tiêu hóa gist, với kết quả đầy hứa hẹn về khả năng tái tạo phân đoạn khối u và khai thác các đặc điểm.
6. Hạn chế và hướng phát triển trong tương lai
Mặc dù tạo hình dữ liệu hoá có tiềm năng nghiên cứu to lớn để cải thiện việc đánh giá định lượng khối u, nhưng có một số hạn chế thách thức việc ứng dụng nó trong thực hành lâm sàng hàng ngày. Tiêu chuẩn hóa phương pháp luận là vấn đề chính để phân tích hình ảnh tạo hình dữ liệu hóa. Sự khác biệt trong thu nhận hình ảnh, trích xuất các tính năng và phần mềm chụp ảnh tạo hình dữ liệu hóa thách thức sự so sánh giữa các nghiên cứu cũng như khả năng lặp lại hoặc ứng dụng của các mô hình ảnh xạ hình trong quần thể khác nhau.
Tất cả các nghiên cứu được công bố hiện tại về tạo hình dữ liệu hóa của u mô đệm đường tiêu hóa là hồi cứu và hầu hết được thực hiện ở các trung tâm đơn lẻ. Việc thiếu tiêu chuẩn hóa trong việc thu nhận CT và MRI là một vấn đề lớn khác đối với việc đánh giá u mô đệm đường tiêu hóa bằng tạo hình dữ liệu hóa. Điều này liên quan chặt chẽ đến độ hiếm của u mô đệm đường tiêu hóa GIST so với các loại tân sinh khác, yêu cầu thu thập các nghiên cứu hình ảnh trong một thời gian dài. Hơn nữa, các đặc điểm mô bệnh học đặc biệt của u mô đệm đường tiêu hóa, chẳng hạn như số lượng phân bào và tình trạng đột biến, đòi hỏi chẩn đoán bệnh lý thông qua các tiêu bản cắt bỏ như là tiêu chuẩn tham chiếu cho các nghiên cứu tạo hình dữ liệu hóa.Việc đánh giá đáp ứng điều trị bằng thuốc ức chế tyrosine kinase cũng cần được nghiên cứu thêm. Vì vậy, đáp ứng với liệu pháp đích có thể xảy ra ngay cả khi không làm giảm kích thước khối u. Do đó, tiêu chí Choi, dựa trên các phép đo giá trị suy giảm CT, đã được chấp nhận để đánh giá đáp ứng điều trị ở bệnh nhân đang điều trị đích. Các giá trị bổ sung của xạ hình trong đánh giá hình ảnh của đáp ứng điều trị hiện chưa được khám phá và có thể được khảo sát trong các nghiên cứu tương lai.
Các nghiên cứu đa trung tâm tiềm năng hơn sẽ là cần thiết để xác nhận hiệu suất chẩn đoán tối ưu của các mô hình tạo hình dữ liệu hóa được cung cấp bởi phân tích hồi cứu. Các công trình trong tương lai cũng được bảo đảm để tối ưu hóa và tiêu chuẩn hóa phần mềm radiomics, thu thập hình ảnh, trích xuất các tính năng và phân tích mô hình.
Thông tin cần tư vấn liên hệ 0978342324 hoặc truy cập thuockedon24h.com để được hỗ trợ.

Thuốc Myo inositol là thuốc gì? Tác dụng, cách dùng giá bán